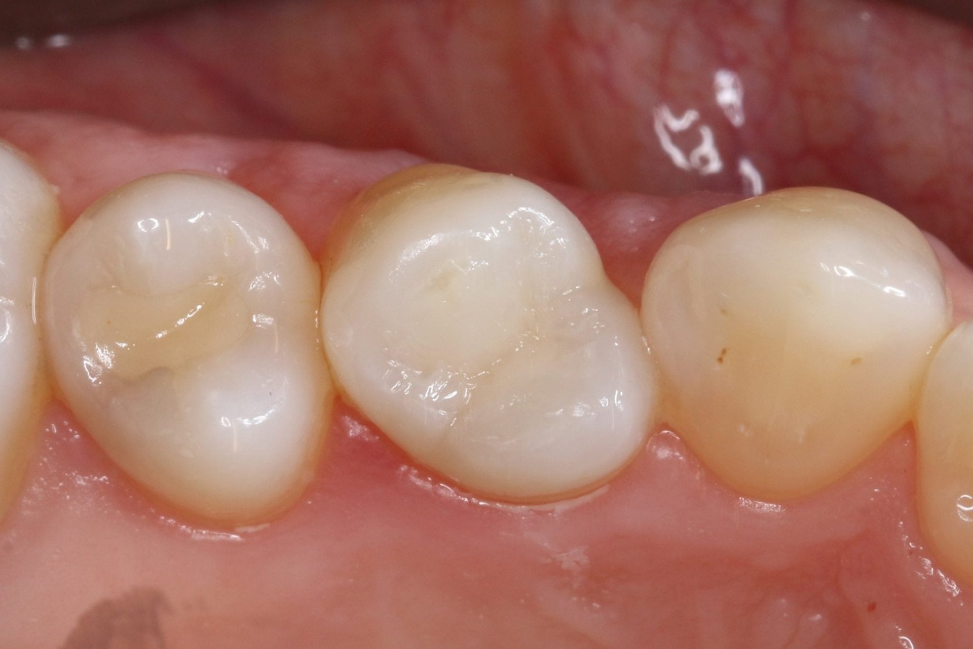
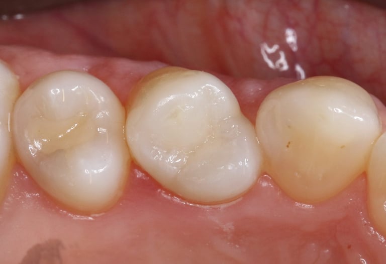
White Fillings


If you require a filling in your tooth, a cosmetic option would be to choose a white filling material that matches the shade of your surrounding natural teeth. You can also have any existing metallic fillings replaced with tooth-coloured or ‘white’ fillings. This will allow you to smile without a metallic glint in sight, giving your teeth a more natural appearance overall. Here is how white fillings work:
This is a safe procedure that entails the removal of any decay from your tooth and taking out the metal or amalgam fillings if you are having them replaced.
Life Benefits
Natural-looking restoration.
Improved cosmetic appearance of filled teeth while still being able to bite and chew as usual.
Hard-wearing restorative solution.
The new filling is made from a very hard tooth-coloured substance and will withstand the forces in your mouth when you bite and chew over a long period of time.
The restoration is completed in one visit and your fillings will not be visible when you smile.

ADDRESS
No 64, 180A, Radha Nagar Main Rd, Doctors Colony, Chromepet, Chennai, Tamil Nadu 600044
+91 94868 94412
OPENING HOURS
Mon - Sat 9:00am - 01:00pm
Mon - Sat 5:00pm - 9:00pm
SUNDAY : By Appointments Only
